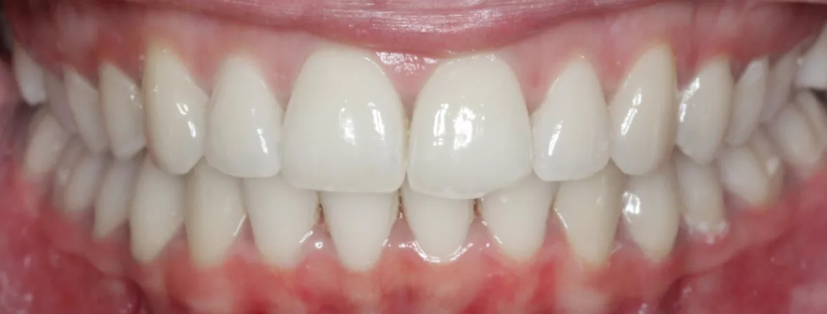
טיפול בחפיפה קידמית
מנשך יתר (Overbite) הוא ליקוי סגר נפוץ שבו השיניים הקדמיות העליונות בולטות וחופפות יתר על המידה על השיניים הקדמיות התחתונות. מצב זה הוא לרוב גנטי, ונובע מהצורה או הגודל הטבעי של הלסת והשיניים. במקרים אחרים, הוא יכול להיות מושפע מהרגלי התפתחות במהלך הילדות, המשפיעים על מבנה הפה.
בעוד שמנשך יתר קל נחשב נורמלי, מקרים חמורים יותר עלולים להוביל לכאבי לסת, לקשיי דיבור ולשחיקת שיניים. קשתיות קליר סמייל מציעות גישה מודרנית ויעילה לתיקון המצב, על ידי הזזה הדרגתית של השיניים למנשך בריא ואסתטי יותר.
הגורמים הנפוצים למנשך יתר
במקרים רבים, מנשך יתר הוא מצב תורשתי הנובע ממבנה הלסת או מגודל השיניים. עם זאת, גם הרגלים מסוימים יכולים לתרום למצב או להחמיר אותו. הגורמים הנפוצים ביותר כוללים:
הבנת הגורם חיונית לטיפול יעיל. עבור רבות מבעיות אלו, קשתיות קליר סמייל מציעות פתרון מודרני ויעיל לתיקון מנשך יתר.
תופעות לוואי של מנשך יתר
בעוד שרבים רואים במנשך יתר בעיה קוסמטית בלבד, השלכותיו הבריאותיות עלולות להיות משמעותיות. ליקוי סגר זה עלול להוביל לכאבי לסת כרוניים, כאבי ראש, ואף לתרום להפרעות במפרק הלסת (TMJ). מבחינה תפקודית, הוא עלול לגרום לאי נוחות או לכאב בזמן הלעיסה ובמקרים מסוימים להשפיע על דפוסי הדיבור.
יתר על כן, מנשך יתר עלול לסכן את בריאות השיניים לטווח הארוך על ידי הגברת הסיכון למחלות חניכיים ועששת. הוא גם עלול להוביל לשחיקה מוגזמת של השיניים. טיפול במנשך היתר הוא הדרך היעילה ביותר למנוע או לתקן בעיות אלו ולהגן על בריאות הפה הכללית שלך.
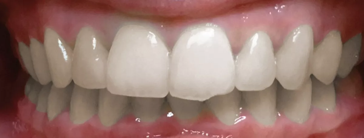
אפשרויות טיפול יעילות למנשך יתר
עבור מבוגרים רבים, קשתיות קליר סמייל הן פתרון עיקרי ודיסקרטי לתיקון מנשך יתר. הטיפול הוא חלק מתוכנית מקיפה שבמקרים מורכבים ניתן לשלב עם הליכים נוספים, כמו ניתוח לסת או טיפול התנהגותי, כדי להבטיח תוצאה יציבה וארוכת טווח.





