טיפול בצפיפות שיניים
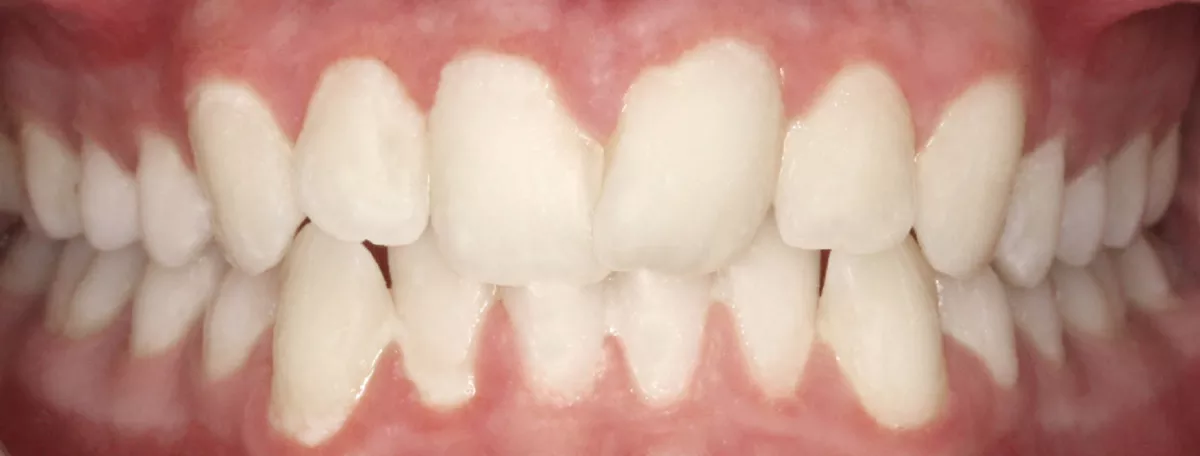
צפיפות שיניים היא בעיה אורתודונטית נפוצה, המתבטאת בחוסר מקום המונע מכל השיניים להתמקם בנוחות בתוך הפה. עם הזמן, השיניים עלולות להפוך למסובבות או עקומות מכיוון שאין להן מספיק מקום.
בנוסף למראה האסתטי, הצפיפות מקשה על ניקוי יעיל של השיניים ומגבירה את הסיכון להתפתחות עששת ומחלות חניכיים. טיפולים בצפיפות שיניים הם חיוניים כדי למנוע נזק קבוע לשיניים ולחניכיים.
הגורמים לצפיפות שיניים
ישנם מספר גורמים לצפיפות שיניים, וביניהם:¹
בליווי אורתודונטי מקצועי, קשתיות Clear Smile עשויות לסייע בתיקון שיניים צפופות.
תופעות הלוואי של צפיפות שיניים
מלבד החסרונות האסתטיים של צפיפות שיניים, לבעיה אורתודונטית זו ישנן תופעות לוואי שליליות נוספות. שיניים מסובבות או עקומות עלולות למנוע ניקוי יסודי של כל שטח פני השן ולגרום לעששת. צפיפות שיניים עלולה גם להגביר את הסיכון למחלות חניכיים, להקשות על לעיסה תקינה, ואף למנוע סגירה מלאה של הפה.
בנוסף, המנשך הלא תקין עלול לגרום לשחיקה מוגברת של משטחי השיניים ולהפעיל לחץ עודף על הלסת, מה שעלול להוביל לכאב כרוני. במקרים מסוימים, הדבר עלול להשפיע גם על בהירות הדיבור.
פתרונות יעילים לצפיפות שיניים
במקרים רבים של צפיפות, קשתיות Clear Smile הן טיפול יעיל ביותר ולא פולשני. הן פועלות על ידי הזזת השיניים בעדינות ובדיוק למיקומן הנכון, בתנאי שיש מספיק מקום בלסת. במקרים חמורים יותר של צפיפות, ייתכן שיידרשו טיפולים אחרים, כגון עקירת שיניים או הליך כירורגי זעיר, כדי ליצור את המקום הדרוש לפני שניתן יהיה להתחיל בטיפול עם הקשתיות.





